タケスエ歯科医院は横浜市戸塚区 JR戸塚駅西口トツカーナモール2F。自由診療 インプラント歯科 審美歯科 矯正歯科を専門に丁寧な診療・治療を行っています。

JR戸塚駅西口  トツカーナモール タケスエ歯科医院

045-871-2013 診療時間 AM9:00~PM12:00 / PM2:00~PM6:00

お問い合わせ

休診日 木・日曜・祝日

case

症例紹介

このページでは、タケスエ歯科医院で実際に行っている治療をご覧いただきます。
出来るかぎり様々な症例をご覧いただくことによって、いまご覧いただいているみなさまのお悩みに近いものを見つけていただければ幸いです。
このページは随時更新させていただきます。
なお、ここでご紹介させていただく写真は、患者様から許可をいただいた上で掲載させていただいております。

審美歯科治療 症例

50代 女性 「古いつめものをきれいに治してほしい」


  • Before

  • After

とても気さくで話しやすい女性。いつも私の話を真剣に聞いてくださいます。
右上の前から4番目と5番目の歯に古い銀のつめものが取り付けられており、内部で虫歯が進行していました。
しかも5番目の歯は、銀のつめものと一緒に白いレジンのつめものもつぎはぎでなされており、まわりが変色しているのがわかります。
これらの歯は、麻酔をして古いつめものと虫歯を削り取り、歯型をとって、2本ともハイブリッドインレー(グラディアフォルテ)を取りつけました。
つめもの自体の大きさは変わっておりません。
ご覧の通り、一度取り付けてしまうとどこが境目かわからないくらいキレイに同化します。

PAGETOP

20代 男性 「転んで前歯が折れてしまった」


  • Before

  • After

若い男性。フットサル中に転んで前歯が欠けてしまい、急患でご来院いただきました。
細かい診査をしてみると、神経はまだ生きている様子でした。このまま歯全体をかぶせる方法もありましたが、まだ年齢的にお若かったので、歯は極力削りたくないということと、なんとか1回のご来院で治療を完了させてあげたいという思いがありましたので、歯をほとんど削らずに、保険適用外のコンポジットレジン充填を行い、欠けてしまった部分を補いました。
歯が欠けてしまったことで患者さんは大変なショックを受けておられましたが、1回の処置で治療が終了することができ、大変喜んでいただけました。

PAGETOP

30代 女性 「保険のつめもののキワの虫歯を全部治して、白い歯にしてほしい」


  • Before

  • After

お口の中の健康と美には高い関心をお持ちの女性で、毎回埼玉県から片道2時間かけてご通院いただいていました。
残念ながら保険の銀のつめものと歯との間からことごとく虫歯が再発しており、それらを1本ずつ丁寧に治療させていただきました。
この写真は右下の奥歯の4本の治療前後のお写真ですが、奥歯2本は銀のつめものを外してハイブリッドインレーで、奥から3番目の歯は銀のかぶせものを外してメタルボンド(陶材焼付鋳造冠)で、そして奥から4番目の歯はハイブリッドインレーで仕上げました。
いずれも内部に再発した虫歯でしたので、つめものの規模は治療前と全く変わっておりません。特にハイブリッドインレーは、境目がわからず自然に仕上がっているのがおわかりいただけるかと思います。

PAGETOP

50代 女性 「上の前歯4本が引っ込んでいて、以前から気になっている。特に前歯2本の歯の間が黒くなっているのも気になる」


  • Before

  • After

  • Before

  • After

この患者さんは、上の前歯4本が下の前歯よりも内側に生える、いわゆる「反対咬合」という状態でした。俗に言う「受け口」というものです。
今までずっと気になられていたようですが、「この歳からでも短期間で治せるものなら治してみたい」というご希望で当院へご来院いただきました。
術前の写真をご覧いただいておわかりの通り、特に噛んだ状態では上の前歯2本はほぼ完全に隠れて見えなくなってしまいます。
このような場合は通常は矯正治療で治すのですが、長い治療期間やご年齢的などの問題から矯正治療は行わず、審美歯科治療のみで見た目を治すことにいたしました。
前歯4本の根管治療を行い、土台(ポスト)で大幅に歯の軸方向を変えることによって、今まで受け口になっていた歯並びを正常な状態にまで戻すことができました。
同時に歯ぐきの整形手術も行い、前歯4本の歯ぐきのラインも整えています。
仕上げは、前歯4本はオールセラミッククラウンでかぶせました。
治療開始から約3カ月で終了いたしました。

PAGETOP

30代 女性 「つめものの下の虫歯を削って見た目よく治してほしい」


  • Before

  • After

左下の前から6番目の歯(奥から2番目)の歯に銀のつめもの(インレー)が入っており、レントゲン写真で見てみますと、つめものの中が虫歯になっていました。
この金属のつめものを外して内部の虫歯を削り、再びつめもの(インレー)を取りつけました。
この際、患者さんは見た目もお気にされていたので(大きく口を開けると金属が見える)、このたびはセラミックインレーで治させていただきました。
ご覧の通り、一度取り付けてしまうと境目がわからなくなるほど自然に仕上がります。
写真ではわからないと思いますが、金属の部分を削って中の虫歯を取り除いただけですので、つめもの(インレー)の大きさとしては治療前と何も変わっていません。

PAGETOP

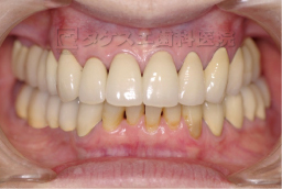
インプラント治療 症例

60代 女性 「部分入れ歯の調子がよくない」


  • Before

  • After

60代のとても気さくな女性。ご来院のたびに絶えない楽しいお喋りがとても印象に残っています。
右下奥歯に4本歯がすでになく、長い間、部分入れ歯をお使いいただいていました。しかしどうしても不便で、右側では硬いものが食べることができないとお悩みでいらっしゃいました。

さっそく右下奥歯に4本分のインプラントを入れましたところ、「何でも食べれる」と大変喜んでくださいました。と同時に「他の虫歯も含めて、このさい悪いところを全部治して欲しい」というご要望をいただきました。

結局、1年がかりの大きな治療となりましたが、全体の噛み合わせの再構築も考慮に入れた「フルマウス・リコンストラクション」を行い、下の前歯の4本以外は全て治療をしました。
上の前歯の審美歯科治療も含めてとてもキレイになり、大変喜んでいただきました。

いざ治療が終わってしまうと、お会いできなくなるのが残念ですが、またの検診の際にお会いできますことを楽しみにしております。

PAGETOP

70代 男性 「左側でものが噛めない」


  • Before

  • After

70歳を越えた初老の男性。重度の歯周病で左下の歯が3本、左上の歯が2本なくなってしまいました。左側ではほとんど噛めないので、右側だけでお食事をされていたようです。
上の歯は反対側の歯も数本すでにないので部分入れ歯をお使いです。
(治療前の写真で入れ歯のバネが映っています)。

この患者さんの左下の奥歯に3本インプラントを入れました。
ちなみに上の奥歯にもインプラントを入れたかったのですが、顎の骨が十分にありませんでした。
この部分に新たに骨を足す手術(上顎洞挙上術)も出来ないこともなかったのですが、ご高齢ということもあり、お体に負担がかかる手術は回避して、上の奥歯は部分入れ歯で補いました。

これで、今まで全く噛むことすらできなかった左側でも何でも噛めるようになり、美味しくお食事が出来るようになったぶん、ますます見た目もお若くなられました。

PAGETOP

ホワイトニング 症例

20代 女性 「歯が汚れてきたのでキレイにしたい」


  • Before

  • After

ホワイトニングのコーナーでご紹介していますが、実はこの方、ホワイトニングはしていません。
PMTC(プロフェッショナル&メカニカル トゥース クリーニング)という歯科医院で行う特殊なクリーニングのみでここまでキレイになりました。これは、歯の表面を削らずに、表面に沈着しているステイン(しぶ)のみを特殊なペーストを使って除去したもので、歯の色自体は何も変えていません。
症例によっては、このようにPMTCのみでも十分にキレイになる場合があります。

PAGETOP

20代 女性 「黄ばんだ歯をもっと白くしたい」


  • Before

  • After

23歳の女性。お口の中は虫歯もなく、歯周病もほとんどなく健康な良い歯をしていらっしゃいます。ただ、全体的に歯が黄ばんで見えるのが以前から気にされていたようで、当院のホームページのホワイトニングキャンペーンをご覧いただき、思いきってご来院いただきました。
最初にホームホワイトニングだけでお試しいただきました。ある程度は白くなりましたが、やはり「もっと白くなりたい」というご要望があり、あとでオフィスホワイトニングもお受けいただき、ご覧の通り全体的にかなり白くなりました。
やはり一気に歯を白くしたいというご要望があれば、オフィスホワイトニングの方が効果は大きいですね。

PAGETOP

30代 男性 「白く健康的な歯になりたい」


  • Before

  • After

ホワイトニングキャンペーンをご覧になりご来院いただいた、色黒で健康的、とても明るく気さくな30代の男性でした。
全体的に黄ばみが見られましたが、オフィスホワイトニングで一気に白くなり、大変喜んでいただけました。
ご本人はこのHPで歯のお写真を使わせていただくことに関して、お名前もお顔の写真も「よければどうぞ使ってください!」と気前よく言っていただけるほどの大変好感の持てる男性でした。
(実際には他の患者さんのプライバシーも伏せてありますので、統一して使わないことにさせていただきました)

PAGETOP

30代 女性 「ホワイトニング希望」


  • Before

  • After

30代のクールで物静かな落ち着いた女性。
この方もインターネットで当院のHPをご覧いただき、ご受診いただきました。
歯の色にムラがあり、白い縞模様のようなものもありましたが、実際にホワイトニングをお受けいただくと、術後は2トーン以上も明るくなりました。
患者さんご自身も実感していただき、たいへん喜んでいただいた症例です。

PAGETOP

歯周病 症例

30代 女性 「奥歯の裏側が腫れていて痛い」


  • Before

  • After

右下の前から6番目の歯の内側が腫れてきて痛いというご相談でご来院いただきました。
全体的には比較的健康的な歯ぐきをしておられましたが、右下の前から6番目の歯の内側(舌側)の部分だけ、痛々しく腫れておりました。
(上の写真ですと右から2番目の歯になります)

この部分は以前から歯周ポケットが6ミリと深かったのですが、前の歯医者さんではこれについては何も治療を受けなかったそうです。
当院では、まずはこの部分のブラッシング指導から始め、何度も赤染めをしながら確実に歯ブラシの毛先が歯の面に当たるように練習していきました。
その後、麻酔をして歯周ポケット内のスケーリング(歯石除去)を行ったところ、わずか1~2日で歯ぐきの腫れは急速になくなり、きれいな歯ぐきを取り戻していただきました。

PAGETOP

30代 女性 「全体的に歯が腫れている」


  • Before

  • After

歯科恐怖症で、10年以上も歯医者さんから遠ざかっていた患者さんです。
意を決して当院へご来院いただきました。
全体的に歯ぐきがひどく腫れていて痛々しいお口の中をしておられました。
今まで歯医者さんで嫌な思いを沢山されてこられたことなどをお聞きしておりましたので、少しずつでも患者さんの不安を取り除けるよう、何度もお話だけなどでご来院いただきながら、歯ブラシ指導などの簡単なことから始めていきました。
患者さんはご来院いただくたびに心を開いていただき、そのうち歯の治療などもお受けいただけるようになりました。
ご覧いただいている下の前歯は、数回の歯ブラシ指導と1回の歯石除去のみで、約2カ月後にはまるで別人のような健康的な歯ぐきを取り戻していただきました。

PAGETOP

その他 症例

50代 女性 ~レーザー治療~「歯ぐきが黒ずんでいる」


  • Before

  • After

歯ぐきに色素沈着のある患者さんをレーザー治療で除去した症例です。
このように、歯ぐきに色素が入って黒ずむ症例をよく目にします。
原因は、みなさんよくお聞きになられるメラニンであったり、歯科用の金属の色素が歯ぐきに沈着したりします。
このような症例でも、炭酸ガスレーザーを用いて簡単に除去できます。
治療するには多少歯ぐきに麻酔をかけないといけませんが、術中はほぼ無痛状態で治療をお受けいただけます。
この症例のように歯ぐきの深い層まで色素が沈着していますと、数回のご通院が必要ですが、この患者さんは3回のご来院でここまでキレイに色素を除去することができました。

PAGETOP